Foreign Body Removal Surgery: What Happens When Your Pet Swallows Something Dangerous

One moment your dog is chewing on a sock, and the next it has disappeared. Or your cat has been playing with a piece of string, and suddenly it is nowhere to be found. Foreign body ingestion (swallowing an object that cannot be safely digested or passed) is one of the most common surgical emergencies veterinarians see, and it can go from a minor concern to a life-threatening situation quickly if the object becomes lodged in the stomach or intestines.

The good news is that when caught early, most pets recover well with appropriate treatment, whether that means inducing vomiting, retrieving the object with an endoscope (a flexible camera guided into the digestive tract), or performing surgery to remove the blockage. At Twin Lakes Veterinary Hospital, we offer emergency surgical services and in-house diagnostics including digital radiography and ultrasound to locate foreign objects and determine the best course of action quickly. If you suspect your pet has swallowed something it should not have, call us at 705-243-8923 or contact us right away.

Signs Your Pet May Have Swallowed Something

Foreign body ingestion does not always produce immediate, obvious distress. Some early signs are subtle and easy to dismiss.

Watch for:

  • Repeated vomiting in pets or gagging, particularly if nothing is produced
  • Reduced appetite or refusing food entirely
  • Lethargy or unusual behaviour changes
  • Restlessness, inability to get comfortable, or repeated position changes
  • Visible abdominal pain: hunching, guarding the belly, resisting being touched
  • Straining to defecate or producing small amounts with effort
  • Drooling excessively without an obvious cause

Signs that are pet emergencies requiring immediate attention:

  • Vomiting blood or dark, coffee-ground material
  • Complete refusal to eat or drink for more than 12 to 24 hours
  • Severe abdominal distension
  • Collapse or extreme weakness
  • Repeated retching without producing anything in a large-breed dog (possible GDV alongside ingestion)

When multiple signs appear together, or when symptoms are worsening rather than stable, do not wait. Call us.

Types of Foreign Body Obstructions

Not all swallowed objects cause the same kind of problem- there are several kinds of gastrointestinal obstructions that may present differently.

Complete obstruction: The object blocks the digestive tract entirely. Nothing can pass through. This is the most urgent scenario and can cause tissue death from restricted blood flow within hours.

Partial obstruction: Some material can still pass, which is why symptoms can be intermittent and misleading. Intermittent vomiting while otherwise seeming fine is a classic partial-obstruction pattern that can eventually progress to a complete blockage.

Linear objects: String, yarn, ribbon, tinsel, and hair ties are particularly dangerous. One end catches on the tongue or at the pylorus while the intestine continues to move, drawing the string in accordion-like folds. As the intestine contracts around the fixed string, it can saw through the intestinal wall, causing perforation and life-threatening infection. Cats are more commonly affected by linear foreign bodies because of their tendency to play with string.

Why Prompt Care Matters

The longer an obstruction remains, the more damage accumulates. Restricted blood flow to the tissue surrounding the obstruction causes death of the intestinal wall (necrosis). Bacteria from the gut can escape into the abdominal cavity, causing sepsis.

Some objects are more dangerous than just the obstruction they may cause. Magnets stolen from your fridge can stick to each other between parts of the intestine, causing rapid tissue damage. Coins and batteries start to leach metals once they hit stomach acid, causing heavy metal poisoning. Skewers, toothpicks, or other sharp objects can penetrate through stomach walls into the chest and abdomen.

Pets treated within the first several hours of a confirmed obstruction have significantly better surgical outcomes, shorter hospital stays, and lower complication rates than those treated after the tissue has been compromised. Early intervention is the single most important factor in outcome.

The financial side also compounds with delay. Pets seen early often need only induced vomiting or endoscopy, both far less expensive than abdominal surgery with intestinal resection and a lengthy hospital stay. Waiting to see if symptoms improve typically turns a manageable situation into a complex one, and the cost of the procedure rises accordingly. When in doubt, a quick phone call is always worth it.

How We Diagnose a Foreign Body

When you arrive, our first priority is stabilising your pet if they are in distress: IV fluid support, pain management, and assessment of cardiovascular status. Then we move to diagnostics:

  1. Physical examination: abdominal palpation for pain, tension, and occasionally a palpable mass; inspection of the mouth and throat for any string anchored around the base of the tongue
  2. Digital radiography: identifies metallic or dense objects, gas accumulation patterns consistent with obstruction, and intestinal dilation
  3. Ultrasound: evaluates intestinal wall integrity, motility, and fluid accumulation; detects objects that are not radio-opaque on X-rays
  4. Blood work: assesses hydration, electrolyte status, and organ function to guide anesthesia and fluid planning

Together, these allow us to determine exactly where the object is, what condition the surrounding tissue is in, and which treatment approach is most appropriate.

Treatment Options

Inducing Vomiting

When ingestion is recent (typically within one to two hours), certain objects that have not yet reached the intestines may be retrievable by inducing vomiting. This is only appropriate for specific objects and specific patients and should always be done under veterinary supervision. Inducing vomiting at home with hydrogen peroxide can cause hemorrhagic gastroenteritis and aspiration pneumonia, and is not recommended.

Endoscopic Retrieval

Veterinary endoscopy uses a flexible camera under anesthesia to retrieve objects from the esophagus or stomach. When an object is accessible endoscopically, this approach avoids abdominal surgery entirely, resulting in faster recovery, less pain, and lower complication risk. Endoscopy is most useful for objects located in the upper GI tract before they have moved into the intestines.

Surgical Intervention

When an object has reached the intestines, when tissue damage is suspected, or when endoscopy is not appropriate, surgery is required. Common procedures include:

  • Gastrotomy: opening the stomach to remove an object lodged there
  • Enterotomy: opening a segment of intestine to retrieve the object
  • Resection and anastomosis: removing a section of intestine when the surrounding tissue is no longer viable and rejoining the healthy ends

All surgical procedures at Twin Lakes are performed under general anesthesia with continuous monitoring of heart rate, blood pressure, oxygen saturation, and temperature. Pain management is provided before, during, and after the procedure.

Recovery After Surgery

Recovery from foreign body surgery typically spans one to two weeks for uncomplicated cases, longer when tissue was compromised. Your pet will go home with:

  • Written discharge instructions tailored to their specific procedure
  • Prescription pain medication and often antibiotics
  • Guidance on a soft, easily digestible diet during initial healing
  • Specific activity restrictions and e-collar instructions
  • A scheduled recheck appointment

Call us promptly if you observe:

  • Vomiting or food refusal that resumes after initial improvement
  • Redness, swelling, discharge, or opening at the incision site
  • Fever, unusual lethargy, or pain at the abdomen
  • Any change that concerns you

Home Care During Recovery

Crate rest or strict activity restriction is the foundation of a safe recovery. Crate rest tips that make the confinement period manageable include keeping the crate where the family is active, using food puzzles for mental engagement, and offering slow sniff walks on leash within prescribed limits.

Stairs, jumping onto furniture, and rough play with other pets are typically off-limits during the first two weeks. In multi-pet homes, temporary separation during high-energy moments helps prevent accidental reinjury. Food and water bowls placed at ground level avoid unnecessary stretching of the incision, and harnesses are gentler than collars during brief supervised bathroom outings.

Dog enrichment activities and cat enrichment toys that require cognitive effort without physical exertion help maintain emotional wellbeing during restricted activity without straining the healing abdomen.

The e-collar is not optional during recovery. Brief lapses are often when incision damage occurs.

Preventing Future Incidents

Pet-proofing your home is most effective when done before the first incident rather than after. Many foreign body ingestions are preventable with consistent home management:

  • Secure laundry, socks, and underwear: among the most common swallowed items in dogs
  • Keep string, ribbon, hair ties, and rubber bands inaccessible: the most dangerous items for cats
  • Apply the thumbnail test to all chews: if it doesn’t dent, it can fracture teeth or produce swallowable fragments
  • Choose appropriately sized toys: anything that fits past the back molars is a swallowing risk

Pay special attention during predictable high-risk times. Holidays bring decorations, ribbon, tinsel, and food packaging into reach. Parties introduce unfamiliar items and distracted supervision. Renovations leave small screws and insulation pieces where pets can find them. Scavenging dogs need extra vigilance on neighbourhood walks, where discarded food and wrappers are common finds.

For dogs with a strong history of scavenging or eating inappropriate items, basket muzzle training provides a practical safety measure for unsupervised time without causing distress when properly introduced. Durable toys selected with safety criteria in mind reduce the risk of both toy-part swallowing and dental fractures.

Consider pet insurance before an emergency rather than after. Foreign body surgery is one of the most common and expensive emergency procedures, and policies do not cover pre-existing conditions. Enrolling when your pet is young and healthy means this coverage is available when it is needed.

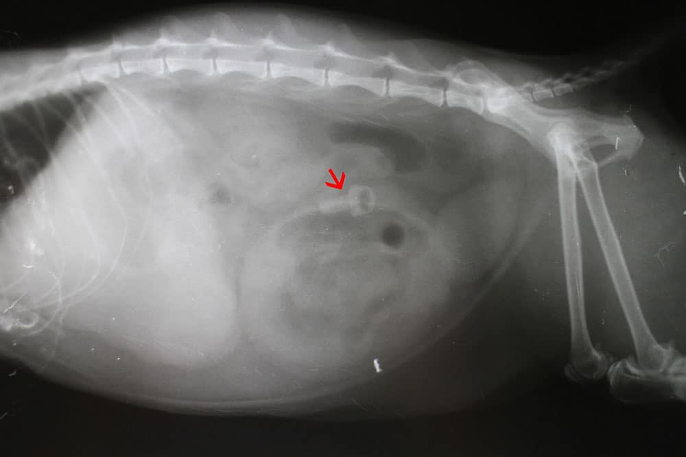
X-ray image of an animal’s abdomen, likely a cat or dog, with a red arrow pointing to a specific round opaque area, possibly indicating a foreign object or abnormality in the digestive tract.

Frequently Asked Questions

What should I do the moment I see my pet swallow something?

Call us right away, ideally before driving in. Bring a sample or a picture of what was swallowed, along with any packaging or label information if available. Do not try to induce vomiting at home; certain objects, including sharp items, batteries, and caustic materials, can cause more damage coming up than going down. Our team can talk you through assessing urgency and arrange the fastest path to treatment.

How do I know if my pet swallowed something?

You may have witnessed it, noticed an object disappear during play, or your pet may be showing the signs listed above. When in doubt, call us. We would rather talk you through an assessment that turns out to be unnecessary than have you wait on a genuine obstruction.

Can foreign bodies pass on their own?

Some small, smooth objects in otherwise healthy pets do pass. But the wrong object or the wrong position can cause a complete blockage at any point, and there is no reliable way to predict which outcome will occur at home. Veterinary evaluation with imaging is the only way to assess risk accurately.

What objects are most dangerous?

Linear objects (string, yarn, hair ties, tinsel) are the highest risk. After that: socks and clothing, corn cobs (irregular shape and high obstruction risk), toys with detachable parts, and any object large enough to lodge at the pylorus.

How long does recovery take?

For uncomplicated cases, most pets are significantly improved within three to five days and fully recovered within two weeks. Cases involving intestinal resection or significant tissue damage require longer recovery.

Quick, Quality Care When It Matters

Affordable access to high-quality care in an emergency is exactly what Twin Lakes Veterinary Hospital is built for. Our in-house imaging and surgical capability means we can move from diagnosis to treatment quickly, without requiring a specialist transfer in most cases.

Request an appointment for a wellness visit, or call 705-243-8923 immediately if you suspect your pet has swallowed something. Time is the most important factor in your pet’s outcome.